陈勇医生
随著社会步入老龄化,记忆力减退,脑退化是很热门的话题。脑退化的原因有很多种,常见有阿兹海默症和血管性痴呆,但目前对于神经退化性疾病治疗方法并不多。
虽然脑退化的原因多种多样,但其有一种临床表现为记忆力减退,走路不稳和尿失禁三联症状的正常压力脑积水,就有机会通过治疗显著缓解改善病情。
「脑袋进水」是一句形容智力有问题的比喻,说明脑里太多水是不正常的。正常情况下,脑脊液包围著大脑和神经,防止神经受伤同时带走代谢产物。脑脊液由中间的脑室产生,流动到脑表面通过静脉吸收。当颅内有各种疾病的时候,脑脊液不能正常排出,就会压迫神经组织引起脑压增高,导致神经系统损伤,影响记忆和运动等功能。
正常脑压脑积水常发生在60岁以上人士,病人表现记忆力减退,思维和动作迟缓,讲话和书写功能困难。同时常出现步态问题,例如起步困难,脚像粘在地面上,行走步态不稳,小碎步行走等。后期可以出现小便失禁。这些症状早期和其他疾病表现类似,容易忽视,导致延误就医和错过治疗时机。
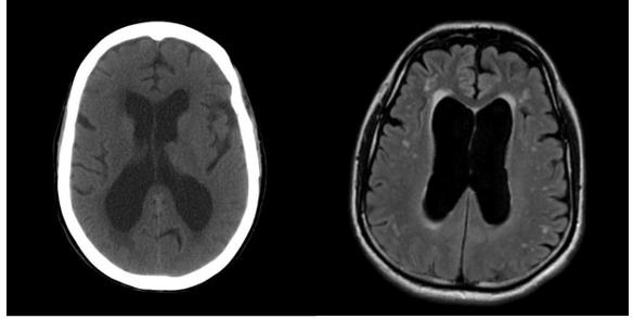
根据临床表现,对于怀疑有脑功能退化的患者,医生会安排影像学检查,包括电脑扫描和磁力共振,发现是否有结构异常,脑萎缩和脑积水等情况。当脑神经退化时,脑萎缩同时脑脊液体积相对增加,如果脑脊液增加不成比例,尤其对脑室产生压力和脑水肿迹象,就需要进一步诊断,排除压力异常的脑积水。这时通常需要做腰椎穿刺的诊断程序,测量硬膜下压力并放出脑脊液,当低压可以改善步态和认知反应,就可以考虑进行脑室腹腔分流手术治疗,使脑脊液循环回复正常。

脑室腹腔引流手术是正常压力脑积水最常采用的治疗方法。做法是神经外科医生通过手术,将一根细小的导管植入脑室,引流管连接头皮下面的压力调节器,经皮下通道把多余的脑脊液排到腹腔内吸收。中间的调节器可以精确调节压力保持脑压正常。分流装置可以永久放置在体内,对正常生活不会有太大影响。

正常压力脑积水是神经功能退化的一个原因,如果家人发现患者有类似症状,应及时就医,做进一步检查,以免延误治疗和康复机会。
本文章所载内容只作参考用途,并非提供任何专业诊断和治疗的意见。
订阅我们的新闻通讯以接收医院公告
继续尽览所有内容。如有最新资讯,将会透过电邮通知你。