近視、遠視及散光在香港非常普遍,不少愛美觀的人會選擇戴隱形眼鏡。隱形眼鏡除了能改善外觀,亦有其他用途,例如運動或某些職業需要,戴隱形眼鏡會較為方便。現時的隱形眼鏡更有不同顏色及俗稱「大眼睛」(虹彩部份)的款式,可作美容用途。
隱形眼鏡在光學上有其優點,深度數的人戴隱形眼鏡可以減少影像縮小或放大,而鴛鴦度數的人可以藉隱形眼鏡減少影像大小不一的情況;隱形眼鏡亦有助治療某些角膜病,例如復發性角膜損傷。
隱形眼鏡的種類:硬鏡、軟鏡各有優點
隱形眼鏡主要分為硬鏡及軟鏡,硬鏡再分為透氣和不透氣鏡,透氣鏡上有很多小孔,讓空氣透入角膜,較適宜長戴。硬鏡的優點在於耐用及清理容易,不過戴上去有不舒服的感覺,適應期較長。
至於軟鏡又分長戴和即棄兩種,都是透氣的,透氣度受厚度及含水量影響;軟鏡吸水,所以較柔軟,戴上去會較舒服,且不易跌出。不過軟鏡壽命較短,易破損及變黃、清理較繁複,而且清晰度及矯正散光的能力較低。要注意軟鏡的清潔,因它引致眼睛發炎或敏感的機會較高。
如何驗配隱形眼鏡
你可以找認可的註冊視光師(第一級別)進行完整的眼睛檢查。建議先在眼鏡店試戴不同牌子,因不同牌子的弧度可能有分別,試戴可以知道自己是否戴得舒服及看得清楚。其次要問清楚鏡片的護理程序、戴用時間、不良反應及覆檢時間。
隱形眼鏡的護理
戴隱形眼鏡的人要按照以下的程序護理眼鏡,否則可能引致嚴重的後果:
戴隱形眼鏡的危險
如護理不當,戴隱形眼鏡可以導致多種眼睛問題。隱形眼鏡始終是異物,角膜很多時會有一點點刮損。配戴時如不小心,鏡片或指甲便會刮損角膜,引起眼紅、刺痛、怕光、視力糢糊。如損傷的範圍較大,通常須停戴隱形眼鏡,滴抗生素藥水,過幾天傷口便會痊癒。此外,隱形眼鏡容易令眼睛乾涸,尤其是本身淚水較少的人,戴用時間宜縮短或滴隱形眼鏡專用且不含防腐劑的人造淚水來滋潤眼睛。
角膜缺氧亦是配戴隱形眼鏡常見的問題,透氧度較低及太長時間配戴隱形眼鏡能引致角膜水腫及血管增生,宜縮短戴用時間。不過只要停戴隱形眼鏡,角膜水腫及早期血管增生都可以復元。
含防腐劑的隱形眼鏡藥水有機會引起眼敏感,導致結膜炎或角膜炎,徵狀有眼紅、痕癢等。可轉用雙氧水的藥水消毒鏡片,並留意鏡片質料是否適合,可滴抗敏感藥水改善情況。
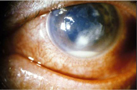
細菌感染是最嚴重的併發症,病源可以是細菌、真菌、亞米巴原蟲,會引致角膜潰瘍,徵狀有眼紅、刺痛、怕光、視力糢糊。可能需要刮走一些角膜組織去種菌化驗及滴抗生素藥水。細菌感染最嚴重的後果是引致角膜結疤,影響視力,可能需要角膜移植,嚴重的甚至蝕穿眼角膜,引致失明。

戴隱形眼鏡護理不當可能引致角膜潰瘍
本文章所載內容只作參考用途,並非提供任何專業診斷和治療的意見。
訂閱我們的新聞通訊以接收醫院公告
繼續盡覽所有內容。如有最新資訊,將會透過電郵通知你。